Smile Makeover Columbia, SC
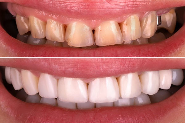
A smile makeover involves multiple reconstructive and professional dental procedures to restore and enhance various aspects of the patient's teeth and mouth. Smile makeovers are a commonly offered cosmetic solution provided at Davis & Dingle Family Dentistry.
With a smile makeover, it's possible to change, restore or alter multiple aspects of a patient's mouth, including the appearance and functionality of teeth. To begin the smile makeover, we will examine a patient's teeth and recommend procedures that will meet the patient's wants and needs. We will then customize the treatment to the patient's teeth before scheduling the appointments.
Since a smile makeover addresses multiple aspects of a patient's mouth, they may need to make multiple appointments. We will outline the treatment plan during a consultation and guide the patient throughout the process. A smile makeover can help you enhance your smile while being mindful of your oral health.
If you want to enhance certain aspects of your smile, call us to schedule an appointment for more information on our smile makeovers.
What procedures are used in a typical smile makeover?
There are many cosmetic dentistry procedures that we can use including teeth whitening, dental veneers, dental crowns, and dental implants, among others.
Teeth Whitening
Yellow and stained teeth are a sign of age since teeth are whiter the younger you are. By eating foods that are artificially colored, drinking coffee, tea, wine and smoking – teeth can become yellow and severely stained. This will negatively impact your appearance and can even make you look unhealthy. As a result, patients throughout Columbia have their teeth whitened to remove the stains.
There are several ways to whiten your teeth. An in-office whitening procedure can whiten your teeth by up to eight shades in a single office visit and do so without causing any discomfort. For those that would prefer to whiten their teeth on their own schedule, an at-home treatment may be better. In this scenario, an impression is taken of your teeth and a customized Teeth Whitening tray is created in a dental lab. It is made to fit perfectly so that the whitening solution stays in place, and your teeth feel comfortable. If necessary, we will provide you with a whitening solution that can be used at home so that you can improve the appearance of your teeth regardless of where you are or how busy your schedule is. To learn more, call 803-567-1804 and schedule a consultation.
Dental Veneers
Patients with severely stained or damaged teeth, can have dental veneers placed in order to improve their smile. We are a veneers dentist and can help to create natural looking dental veneers that can transform ordinary smiles into something truly stunning. In fact, many Hollywood stars have used veneers to improve their smile as most people have an imperfection or two. When you schedule an appointment with our Columbia dentist office, we will examine your teeth to determine if veneers are the best option for achieving the goals you have for your smile. They can be used to close gaps in between teeth, make teeth even in length, cover dark stains, and restore teeth that have been cracked or chipped. Some crooked teeth can even appear straighter using veneers.
Columbia, South Carolina Smile Makeover
When completing a smile makeover, some patients use dental veneers to make their teeth appear larger. Some adults, for example, have teeth that appear too small for their smile and their frame. When this is the case, veneers can be used to elongate the teeth and make them appear more natural. Patients throughout the local area enjoy the results that they receive by using veneers.
Check out what others are saying about our smile makeover and restoration services on Yelp: Smile Makeover Columbia
Dental Crowns
When teeth are more severely damaged or broken, a dental crown is often a better solution for transforming its appearance and functionality. A crown can be made in an all-ceramic or all-porcelain material that surrounds the tooth entirely. This improves the appearance of the tooth and strengthens it since when a crown is used, nothing touches the natural tooth. In the past, people may have had dental crowns that were made out of metal. These are functional but are unattractive and make it difficult, if not impossible, for a smile to look natural and healthy. Replacing metal crowns with ceramic ones makes it possible to have the restoration that you need without anyone knowing your tooth had ever been damaged. We can treat patients who want their smile makeover to include getting rid of outdated metal crowns.
Dental crowns can accomplish similar goals to veneers. They can make teeth even, close gaps, cover stains, and restore cracked or chipped teeth. The major difference is that the crown surrounds the entire tooth, so there is additional stability that comes with this procedure.
Dental Implants
Our patients trust our team at Davis & Dingle Family Dentistry to replace their missing teeth in a way that looks completely natural. Dental implants are an excellent way to restore missing teeth because once the procedure is completed; you can enjoy all of your favorite activities and foods without worrying about the tooth falling out or becoming loose. This is important because, with other procedures like dentures, teeth can get loose while running around or eating lunch with friends. Dental implants are so durable that you will not be able to tell the difference between the implant and natural teeth.
In this procedure, a metal post is implanted under the gums and secured to the jawbone. Over several months, the bone and metal will fuse together in order to create a synthetic root system that is just as strong as a natural root system. Once healed, a new tooth is secured to the metal post for a natural and beautiful looking smile. This procedure is commonly used in smile makeovers because it allows us to replace any teeth that are missing.
Some people may also use dental implants to straighten teeth that are crooked or teeth that are not responding to orthodontics. This is an important part of a smile makeover because if all of your teeth are white and beautiful, but one is severely crooked, your new smile will feel incomplete.
How do I start my smile makeover?
To get started on your smile makeover call our Columbia dentist office and schedule an appointment with John W. Dingle, DMD & Isaiah L. Davis, DMD. You can reach us at (803) 567-1804 and we will be happy to schedule a time that is convenient for your schedule.
Questions Answered on This Page
Q. Can a smile makeover include teeth whitening?
Q. Will dental veneers improve my smile?
Q. Can dental implants replace missing teeth?
People Also Ask
Q. Why should I consider dental cosmetics?
Q. What are the most common cosmetic dental treatment services?
Q. Can dental bridges replace my missing teeth and restore my smile?
Definition of Cosmetic Dentistry Terminology
- Bleachorexia
- Bleachorexia is when people continue to abuse teeth whitening solutions without consulting professionals, causing significant damage to their enamel and gums in the process.
- Cosmetic Dentistry
- Cosmetic dentistry is generally used to refer to any dental work that improves the appearance (though not necessarily the function) of a person’s teeth, gums and/or bite.
- Cosmetic Imaging
- Cosmetic imaging allows oral health professionals to display and break down the changes a variety of cosmetic procedures can make to the patient’s appearance to help the patient understand.
- Crown Lengthening
- Crown lengthening is a surgical procedure that increases the extent of a tooth structure for restorative or esthetic purposes.
- Dental Crown
- A crown is an artificial tooth, usually consisting of porcelain, which covers the top of the implant to provide people with an aesthetically pleasing and fully-functional tooth.
- Dentist
- A dentist, also known as a dental surgeon, is a doctor who specializes in the diagnosis, prevention, and treatment of diseases and conditions of the oral cavity.
- Full Mouth Rehabilitation
- Full mouth rehabilitation is a customized treatment that strives to optimize health and features of the entire mouth with multiple procedures.
- Smile Selection Guide
- A smile selection guide allows patients to select the type of smile and the intricate details they desire when enhancing the appearance of one’s teeth.
- Smile Shape Guide
- A smile shape guide helps patients determine how they want to change or improve their smile with various cosmetic dentistry procedures.
- Tetracycline
- Tetracycline is an antibiotic that can cause permanent gray discoloration of teeth when people use it at a young age.
Back to top of Smile Makeover




